Home
About Us
Services
Our Team
Testimonials
Clinic Tour
Clinic Pictures
Dr.Satheesh Credentials
Implant
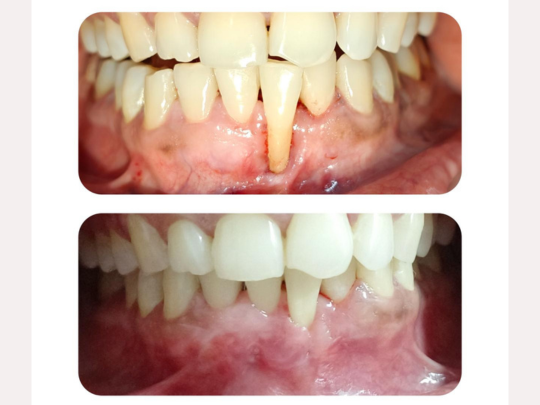
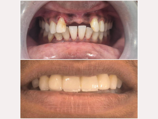
Before and After
Contact Us
Pre and Post Treatment
Home
| Gallery